
ネックオアシスは、肩こりで受診された患者さんからの「何か自分で出来ることはありませんか?」という質問をきっかけに開発が始まりました。
元々はフェイスタオルを使用した枕が原型でしたが、コロナ禍での肩こり患者増加を受け、本格的な製品開発を決意。

開発のポイントは、自然な頸椎カーブの再現、軽量さ、首への負担軽減、長時間の快適な使用、高さ調整、素材が洗えるなど。
試行錯誤の末、素材や形状を改良を重ね、毎日安定した使用感を提供するネックオアシスが誕生しました。
自律神経や心の状態にも関係すると考えられる首の緊張。
その視点から、心療内科医の声をご紹介します。
技術面の裏付けとして、ネックオアシスは頸椎専用パッドとして特許も取得しています。

税込・送料無料/ご注文後5営業日以内に発送
-
ここ数年で猫背気味になってきてるのは自覚してはいたのですが、仕事や家事に忙しく、なかなかジムにも行けずどうしたものかと思っていたところ、ネックオアシスに出会いました。
朝、目が覚めたらそのままベッドで10分間使っています。今なら自分の横姿を見られても自信があります。肩こりも改善されて、もう手放せません。 -
家にいるとついついスマホを見てしまいます。そのせいなのか、家族に猫背を指摘されて悩んでました。仕事から帰ってきて疲れている体に筋トレなんてできないと思っていたところ、ネックオアシスならできる!と思って使っています。
1番のおすすめポイントはただただ寝るだけ!というところ。ズボラな私にピッタリです。
今では猫背も改善されて自信がつきました。 -
ある時、自分の横姿を見た時、えっ?これが私?とかなりショックを受けました。
背筋が曲がって、首が前に出ていたのです。
肩こりも辛いので、整形外科を受診したところ、頸椎がまっすぐになったストレートネックが原因とのこと。オススメされたネックオアシスを使ってみると心地よくリラックスでき、難なく習慣にすることができました。
3ヶ月後の検査結果では頚椎にカーブができて、肩こりも改善し、猫背も気にならなくなりました。こんなに簡単に改善されたので、悩んでる人に教えてあげたいです。 -
少しお値段が高かったので心配しましたが、常に首の痛みで悩んでいましたし、過去に耳鼻科で呼吸が浅く、寝ている時にあまり深く呼吸が出来ていないと指摘されたので購入しました。
使ってみると呼吸がしやすくなり、肩こりも軽くなりました。
目覚めもスッキリしてとても良いので継続して使っていこうと思います。 -
肩こり、首の痛み、巻き肩、猫背姿勢に関する悩みが年齢とともに増してきていて
もうどうしようもないのかと諦めていた時にネックオアシスを知りました。
試してみて私はすぐ良さが分かりました。。首、肩の痛みが気にならなくなり、悩んでいた姿勢も背中の丸みが平らになりつつあります。これからも身体の変化を楽しみに使い続けてたいと思います。 -
元々ストレートネックだったので、肩こり、首の痛みが長い間続いてましたが、
高さを調節しやすそうなのと、首にフィットしそうだったので購入しました。
そしてなんと、使って初日からすぐ眠れるようになりました!
目覚めも良く毎朝気分爽快です!旅先にも持っていけるコンパクトさが魅力だなと思います。
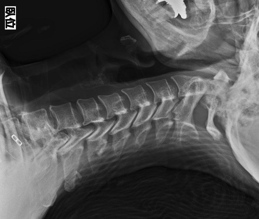
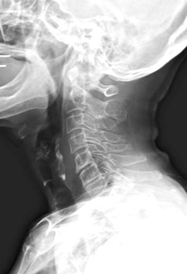
継続使用による変化の一例
ネックオアシスを継続使用した方の頸椎X線写真です。
使用前後で姿勢に変化が見られることがあります。
(※これは一例であり、すべての方に同様の変化が見られるわけではありません)
-
→
症例A 使用前
症例A 6か月使用後 50代女性・デスクワーク
-
→
症例B 使用前
症例B 6か月使用後 80代女性・猫背
税込・送料無料/ご注文後5営業日以内に発送
- 自分に合った高さがよくわかりません。どの高さが一番良いのでしょうか?
- 実際に首に当てて仰向けで寝てみてください。首や呼吸が一番楽になってリラックスできる高さが丁度よい高さです。
ちなみに成人女性の場合3段、成人男性の場合は4段がおすすめです。
よくわからない方はこれを目安に始めてみてください。
- 就寝時に枕として使えますか?
- はい。お使い頂けます。
ただし、ネックオアシスは寝具ではなく健康器具ですので、最初は毎日10~20分くらいを1か月くらい使用し、徐々に使用時間を長くして、慣れてきたら就寝時もお使いください。
デスクワークやスマホの合間に使用することを推奨しています。
- 肩こりがラクになるにはどれくらいかかりますか?
- 個人差はありますが、正しく使用していただければ1回ですぐに実感していただけます。
- 姿勢がよくなるにはどれくらいかかりますか?
- 個人差はありますが、毎日使用して頂いた場合、3か月~6か月くらいかかります。

兵庫医科大学を卒業後、同大学病院整形外科に入局。豊富な臨床経験を積みながら、公立病院では医長として活躍。院内システム管理や医療安全業務にも従事し、幅広い医療知識と管理スキルを培いました。
現在は、医療法人社団 森整形外科医院の理事長を務める一方で、医療現場での豊富な経験をもとに、CURANDY での製品開発にも携わっています。
患者さんの健康と快適な生活を支えるため、常に新しい製品や技術の開発に取り組んでいます。
お買い物ガイド
- ■ ご注文のキャンセル・返品について
- 商品に欠陥がある場合を除き、基本的には返品には応じません。
- ■ 商品到着までの期間について
-
在庫有の商品については、通常ご注文日より5営業日以内に発送しております。
※在庫状況によっては最短翌日出荷が可能です。
地域や在庫数、セール中の商品など、状況によって通常よりお時間がかかる場合もございます。
- ■ 支払方法について
- クレジットカード / コンビニ決済 / Pay-easy / 銀行振込 / Amazon pay / d払い / auかんたん決済 / ソフトバンクまとめて支払い / ワイモバイルまとめて支払い / Pay ID
- ■ 送料について
- 全国一律送料無料。
- ■ 配送先の複数指定について
- 1回のご注文で指定できる配送先は1件のみとなっております。
- ■ 宅配業者の指定について
- 大変申し訳ありませんが、当社では宅配業者の指定は承っておりません。何卒ご了承ください。
- ■ 運営者情報
-
販売業者:CURANDY クランディー
運営責任者:森 紀子
所在地・連絡先:
兵庫県西宮市甲風園1-12-14
(森整形外科医院内)
ホームページ:https://curandy.com
メールアドレス:mail-support@curandy.com














沖縄・絆愛こころクリニック 院長
椎名 泉 医師のコメント
椎名泉 医師は、毎日のストレス対策には「リラックスできる習慣」が大切だと語ります。
「私は、ネックオアシスをリラックスを促すアイテムとして多くの方におすすめしています。 その心地よさが休息のサポートになると感じています。」
※これは医師個人の感想であり、効果効能を保証するものではありません。